Wir bieten eine automatisierte
Analyse von Bildern mit Skripten an. Unsere Experten stellen für Sie privat
oder geschäftlich einen automatisierten Ablauf mit Vision2u zur Verfügung.
Zur Auswertung von Messdaten, Bildanalyse und Vorverarbeitung können Bilder,
Fotos und Videos in Farbe oder Schwarz/Weiß verwendet werden. Mit Hilfe
der von unseren Experten erstellten Skripte oder Workflows im Batchbetrieb
werden die Bildinformationen verarbeitet. Die Tools, mit denen die Bilder
automatisch ausgewertet werden, können dem Kunden auf Wunsch zur Verfügung
gestellt werden. Auf Kundenwunsch werden die Skripte an neue Anforderungen
angepasst oder auf den Systemen des Kunden per Remote gepflegt und gewartet.
1. Bildimport
2. Flächen berechnen
3. Längen messen
4. Schwerpunkt ermitteln
5. Kanten detektieren
6. Fehler erkennen
7. Objekte zählen
8. Muster erkennen
9. Farben analysieren
10. Kalibrierung
11. Vorverarbeitung
12. Filter
13. Strukturanalyse
14. Qualitätskontrolle
15. Preise

Es können alle gängigen Bildformate (JPEG, GIF, TIFF, BMP, PNG) verarbeitet
werden. Dafür stehen Schnittstellen zu Scannern, Mikroskopen, Digitalkameras
(TWAIN), Netzwerkkameras, Webcams, Videograbbern, TV-Karten und Videodateien
zur Verfügung.

Größen von Objektflächen lassen sich in Pixeln oder kalibrierten Einheiten ausgeben. Es können Flächenverhältnisse und Volumina für Bildstapel oder Videos berechnet werden.

Von Objekten lassen sich Höhe, Breite und Pfadlänge bestimmen. Auch die Länge von gebogenen und verästelten Objekten lässt sich in Pixeln oder kalibrierten Einheiten ermitteln. Für Kanten stehen subpixelgenaue Messungen zur Verfügung.

Von Objekten lassen sich Schwerpunkt, umschließendes Rechteck, Mittelpunkt und Ausrichtung ermitteln. Die Zahlenwerte lassen sich als Eigenschaften in der Analyse auslesen.

Anhand von Schwellwerten, Kontraständerungen oder Filtern lassen sich Kanten
in einer Ebene oder Fläche detektieren. Einige Funktionen zur Kantendetektion
arbeiten subpixelgenau.
Von detektierten Kanten lassen sich Abstände, Ausrichtung und Winkel zueinander
bestimmen. Sich wiederholende Kanten können gezählt und vermessen werden.
Für die Inspektion im industriellen Umfeld spielt die
Fehlererkennung
eine wichtige Rolle. Hierfür stehen unterschiedlichste Werkzeuge zur Verfügung.
Die Detektion, ob es sich um einen Fehler handelt, kann mittels Farb- /Helligkeitsschwellwerten,
Merkmalsextraktion, Formvergleichen (Template Matching), Bildvergleich (Golden
Image), Messungen oder Histogrammanalyse ausgewertet werden.

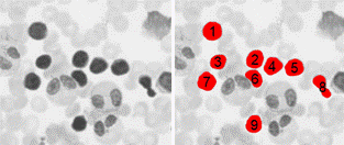
In Bildern lassen sich Objekte (Blob) detektieren und zählen. Die Objekte können
auf Basis von Masken, Farbfiltern oder Schwellwerten ermittelt werden.
Zusätzlich zur Anzahl der Objekte stehen Informationen zu Länge, Breite,
Position, Fläche, Umfang, Form, Ausrichtung und ggf. weitere Eigenschaften
zur Verfügung.
Die Daten der Einzelobjekte lassen sich in einer Stapelverarbeitung (Blobanalyse)
sortieren und zyklisch auslesen.
Zum Zählen von Kanten und Summieren von Bildinformationen stehen weitere
Funktionen zur Verfügung.
Zur Mustererkennung stehen verschiedene
Funktionen zur Verfügung. Muster können auf Pixelebene oder auf Basis von
Kontraständerungen mit einem Referenzbild (z.B. Passmarken) identifiziert
werden. Alternativ können Sie Objekte auch auf Basis ihrer Eigenschaften
mittels Featurelisten vergleichen und unterscheiden. Hiermit lassen sich
Merkmalsbäume (decision trees) erstellen, die später zur Klassifikation
verwendet werden können.
Weiterhin stehen zur Mustererkennung Verfahren zur Schrifterkennung OCR/ORV
und zum Lesen von Barcodes zur Verfügung.

Die Farbanalyse filtert und analysiert Farbbereiche. Hierfür können Schwellwerte
und Referenzfarben im RGB oder HSL/HSV Farbraum definiert werden.
Farben können auch als Masken für weitere Bildoperationen verwendet werden.

Bilder können in realen Einheiten kalibriert werden. Hierzu lassen sich Größenverhältnisse
der Pixel in µm, mm, cm, m, km, ae, au, Lj und pc kalibrieren.
Je nach Anwendung ist es möglich, für Längen und Breiten unterschiedliche
Kalibrierungen einzustellen.

Bilder lassen sich ausrichten, rotieren und beschneiden.
Es können Helligkeitsverläufe und perspektivische Verzerrungen kompensiert
werden. Hierzu zählen die Korrektur von Trapez-, Tonnen-, Kissenverzerrung
als auch die Polarkoordinatentransformation. Bilder können auch vergrößert,
verkleinert und zugeschnitten werden.
Bilder können in verschiedene Bildformate konvertiert werden. Sie lassen
sich auch in Graustufen, in Falschfarben oder binär umwandeln.

Mit Filtern lassen sich aus Bildern die relevanten Objekte hervorheben, segmentieren
und freistellen.
Bildrauschen und Verschmutzungen können zusätzlich mit Filtern reduziert
werden. Mit morphologischen Filtern lassen sich Strukturen herausarbeiten
und verstärken. Mehrere Bilder lassen sich mit logischen Operatoren verknüpfen.

Periodische und stochastische Muster können mit verschiedenen Filtern analysiert
werden.
Hierzu können Muster überlagert werden, um die Struktur der periodischen
Muster für die Bildverarbeitung aufzubereiten. 
Abweichungen von der periodischen Struktur werden in Form von Eigenschaften
zurückgegeben. Auf Basis dieser Eigenschaften erfolgt die Bildanalyse.
Zur Qualitätskontrolle lassen sich verschiedene statistische Kennwerte ermitteln. Mit Hilfe dieser Kennwerte können Aussagen über die Qualität der Produktion oder Klassifikation getroffen werden. Zur Auswertung lassen sich auch externe Tools mittels CSV oder Excel-Dateien verwenden.
- Genauigkeit (Accuracy)
- Wiederholpräzision/Wiederholbarkeit (Repeatability)
- Vergleichspräzision/Nachvollziehbarkeit (Reproducibility)
- Stabilität (Stability)
- Linearität (Linearity)
- Reinheit (Purity)
Die Software Vision2u stellen wir Ihnen gerne kostenlos zur Verfügung.
Mit Vision2u können Sie Ihren eigenen Bildverarbeitungsworkflow erstellen.
Gerne unterstützen wie Sie auch bei ihren eigenen Projekten.
Für die Erstellung eines Script als Dienstleistung kalkulieren wir die folgenden
Preise:
Einzelne Bildverarbeitungsfunktionen: 30€
Schleife oder Verzweigung: 50€
Mit Hilfe des Plugin-Moduls können Sie Vision2u selbst um Algorithmen erweitern.
Aber auch wir bieten die Entwicklung von neuen Filtern oder Bildverarbeitungsfunktionen,
passend für Ihre Aufgabe, an.
Fragen sie unverbindlich nach einem Angebot.